
Experience Your New Smile Before You Commit
Roots Dental is the only practice in the Treasure Valley offering Trial Smile technology - a 3D-printed preview that snaps right in so you can see your transformation instantly.
Your smile deserves the team that patients trust most for their cosmetic care.
- ✨ Instant Preview - Snap it in and see your transformation immediately
- 🏠 Take It Home - Share with family before making your decision
- 🎯 Zero Pressure - Experience your new smile with no commitment
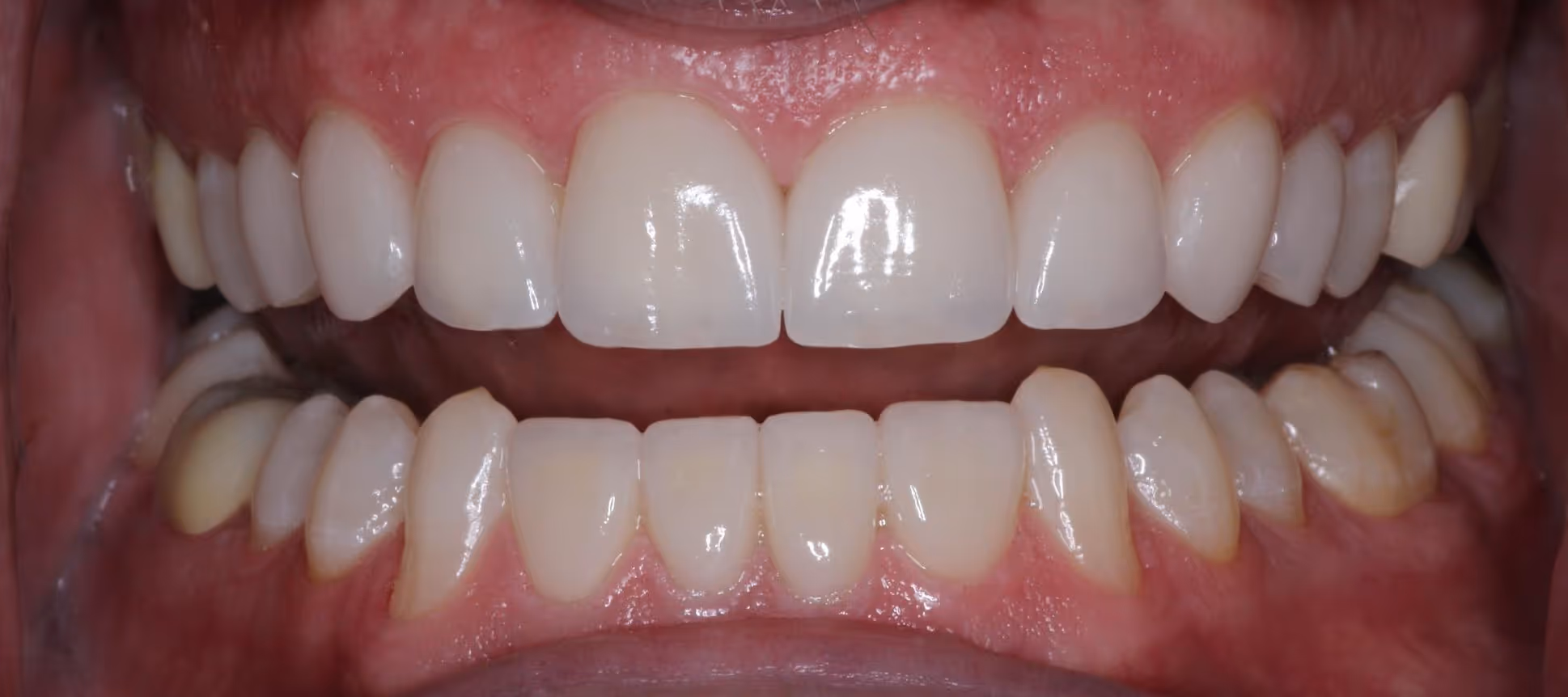
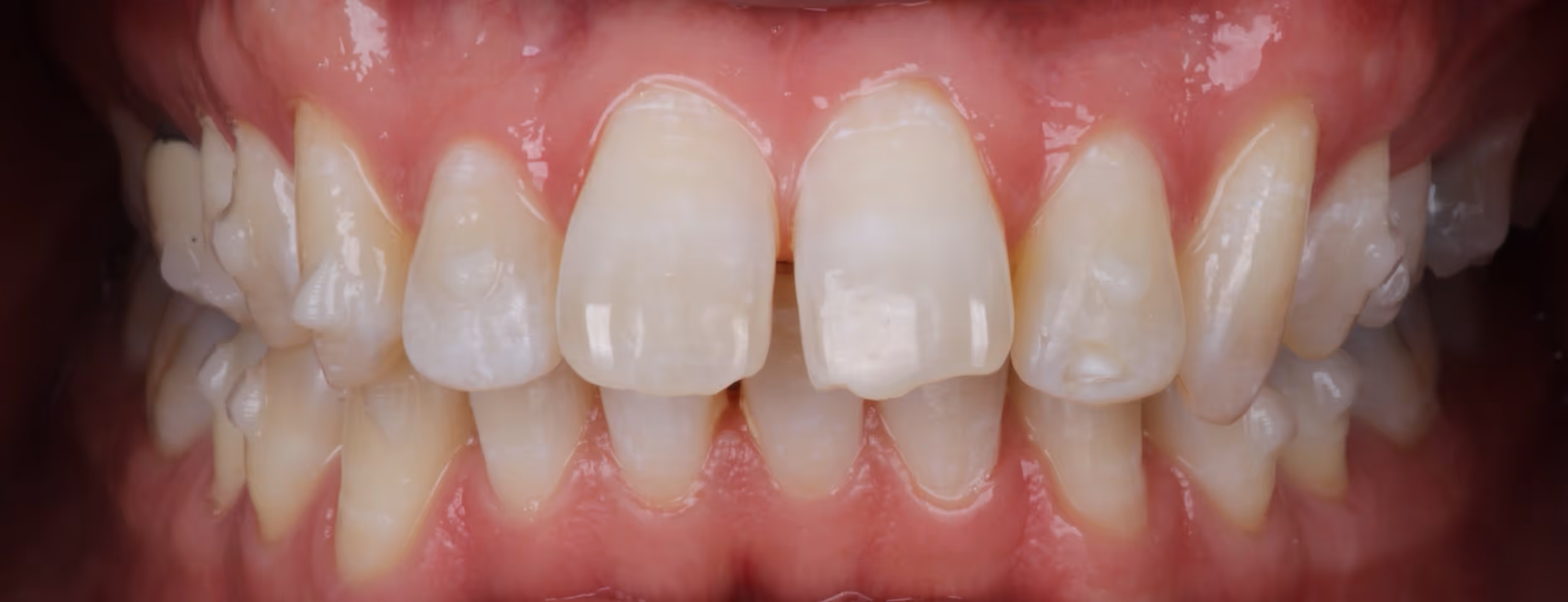
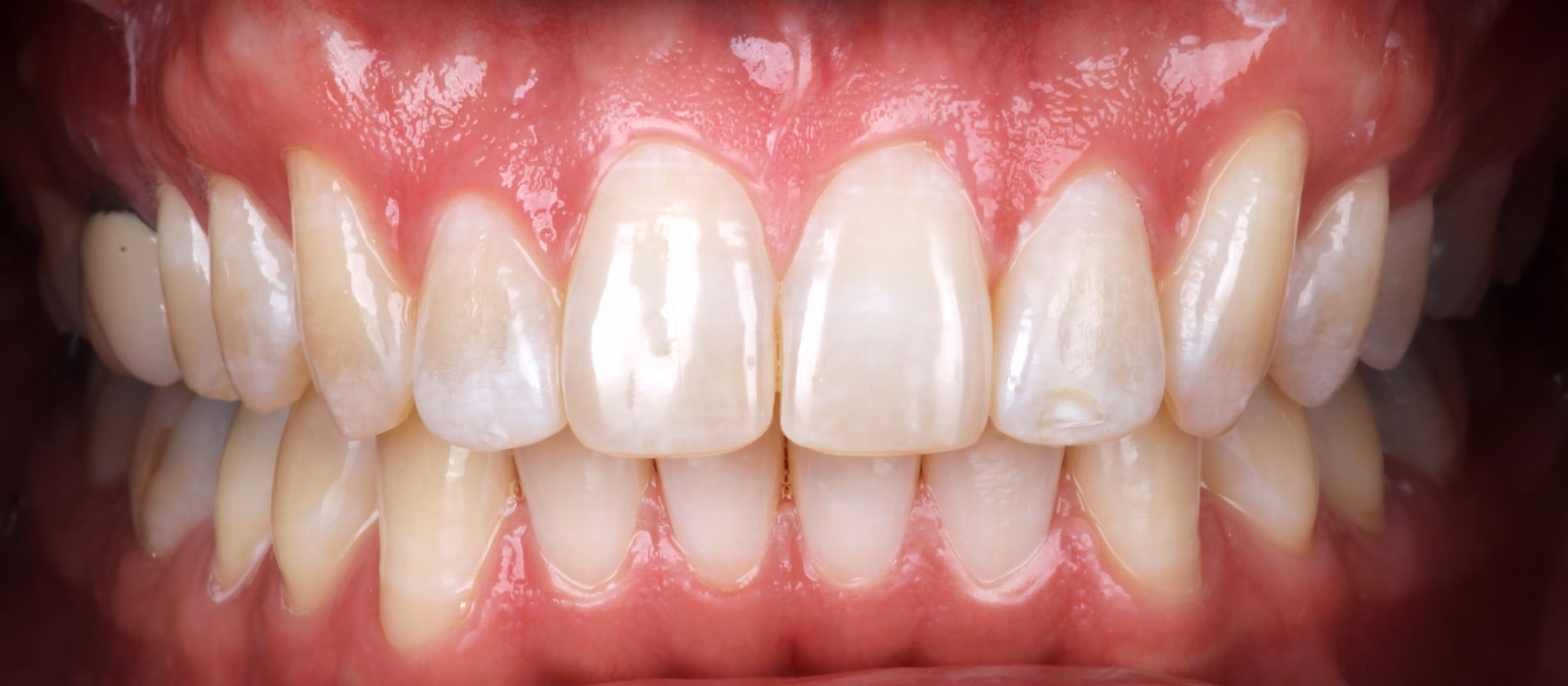
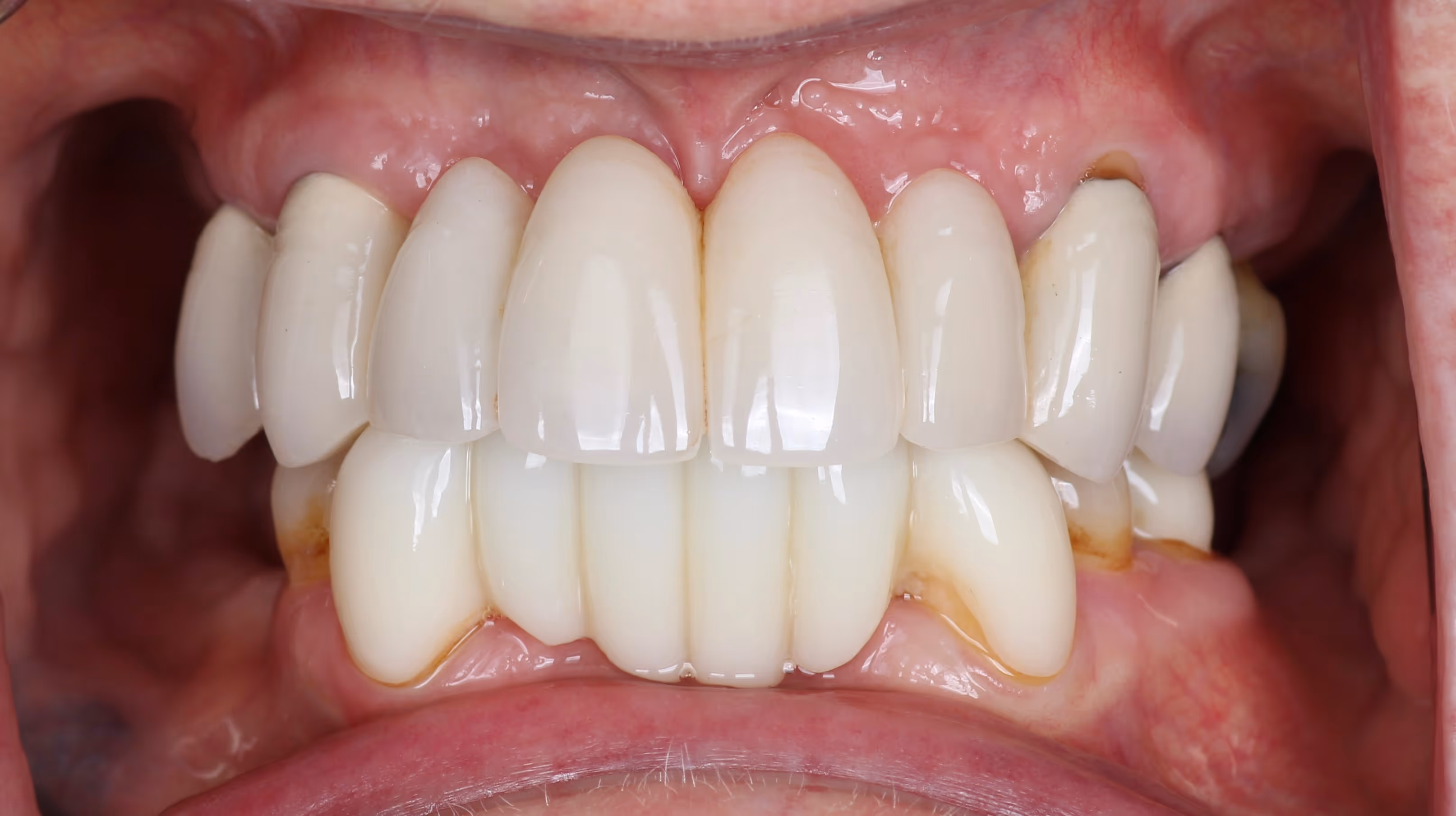
A Trial Smile is your personalized, 3D-printed smile preview
Designed from a comfortable digital scan and crafted to snap right over your teeth so you can see exactly what your results will look like. No impressions, no guesswork, no commitment — just clarity before you invest.

See our Trial Smile Instant Results
How It Works
Step 1: Complimentary Consultation (In-Office or Virtual)
Start with a personalized consultation to discuss your smile goals and explore treatment options.
- Visit us in person for a comfortable digital scan (no messy impressions), or
- Start from home with our free Smile Virtual Consultation and receive expert recommendations online.
Step 2: Your Scan Goes to the Lab
We create your 3D-printed Trial Smile preview - snaps right in to show instant transformation
Step 3: Try on Your New Smile
See exactly what your results will look like before beginning treatment with your Trial Smile
Step 4: Decide with Confidence
Move forward knowing exactly what to expect - or take more time to think it over. No pressure, no commitment.
Smiles Transformed
5-star Reviews
Years of Experience

Partnering for Success
Meet Dr. William Frei and Dr. Stephen Thomas
Dr. Frei and Dr. Thomas became friends when they were in kindergarten, and they started Roots Dental because they wanted to treat their patients like family, focusing on building strong relationships and providing excellent care.

Smiles That Speak for Themselves












Treatments to Bring Out Your Best Smile



Discover What Your New Smile Could Look Like

.webp)
.webp)
.webp)
.webp)
.webp)
.webp)
.webp)
.webp)

